Histología
En ratas Wistar
Cortesía del Laboratorio del Departamento de Patología de la Facultad de Medicina de Ribeirão Preto - USP

Cortesía del Laboratorio del Departamento de Patología de la Facultad de Medicina de Ribeirão Preto - USP

N = 29 ratas Wistar
Peso medio: 421g
Origen de los animales: Biotério Central del Campus de Ribeirão Preto de la Universidad de São Paulo
Mantenimiento: Laboratorio de Patología Experimental del Departamento de Patología de la Facultad de Medicina de Ribeirão Preto - USP
Mantenimiento de animales: cajas de polipropileno
Comida para animales: dieta básica de laboratorio y agua.
Condiciones de luz: ciclos naturales de luz / oscuridad en condiciones básicas controladas
Experimentadores: A.Tenenbaum, R.Mené, Kim

Los ratones fueron sacrificados en cámaras de CO2.
-hematoxilina-eosina
-Tricrómico de Masson
-y picro-sirius rojo.

La caja 6 estaba constituida por 4 ratas, y cada una recibió 0,5 ml del producto principal original de Endopeels inyectado en la capa subcutánea.
Todos los animales se sometieron a evaluación de la marcha antes y después de sus respectivas inyecciones.


Comentario: Nada que declarar después de la inyección de solución salina.

L: Pretibial-Sin tratamiento

R: Pretibial-Después de 0,1 ml de NaCl 0,9% IM
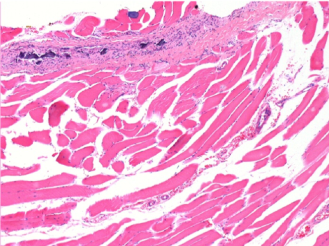
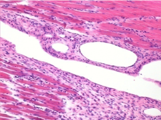
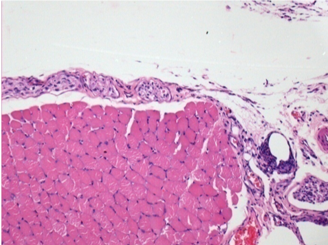
10 días después de la inyección de Endopeel 0,1 ml en el músculo pretibial derecho.
Aquí puede ver la formación de las vacuolas que están rodeadas de linfocitos. Las vacuolas son diferentes a la necrosis tisular. La presencia de linfocitos está relacionada con la permeabilidad de las membranas celulares.




07
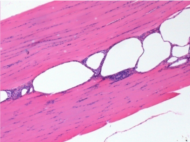
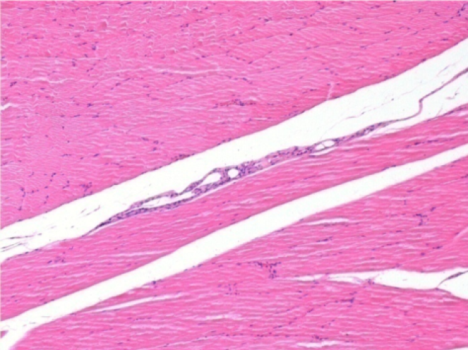
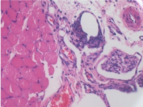
1 mes después de la inyección de Endopeel 0,1 ml en el músculo pretibial derecho.
¡Lo que se ve en negro en las imágenes no es una necrosis como podrían imaginar algunos científicos!
De hecho, hay que tener en cuenta 4 conclusiones



08
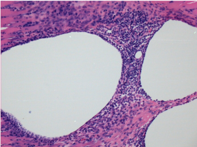
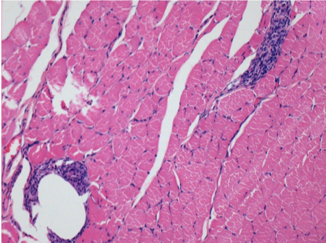
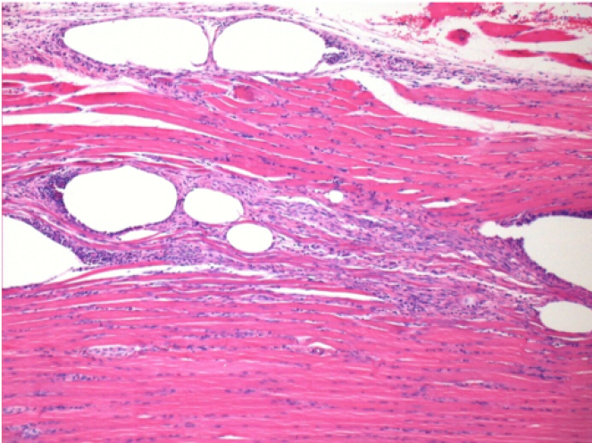
3 meses (D90) después de la inyección de Endopeel 0.1ml en el músculo pretibial derecho.


09
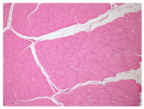
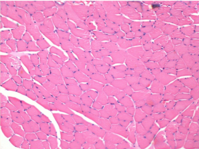
7 meses (D210) después de la inyección IM de Endopeel 0,1 ml en el músculo pretibial derecho.
Restitutio ad integrum (restauración a la condición original) completa después de 7 meses



L :Control 50xD210

R50X-D210
10 Inyección subcutánea
0,5 ml (5 x 0,1 ml) Endopeel SC Inyección en el área pretibial subcutánea derecha.

L:200x-Control-SC

R-D10-SC-200X

R-D30-SC-200X

R-D90-SC-200X

R-D210-SC-200X

R-D210-SC-400X
